テクノケミカル株式会社

TECHNO CHEMICAL corp.
生化学・免疫学等の研究用試薬及び関連機器輸入販売

ポリサイエンス社製品
cat.#24887

Super Decalcifier II: Heavy Duty

Designed for safe, longer term decalcification of hard compact bone, femoral heads, above and below the knee amputations.

  • Save Time - Decalcify in as little as 3 hours!
  • Ready-to-use decalcifier for human and animal tissues
  • Enhanced nuclear detail
  • Environmentally safe and biodegradable

Extremely effective and versatile decalcifier that can be used in specific lab routines. As with most acids, nuclei acids in the cell can become subject to ribonuclease digestion, resulting in a loss of basophilic properties.

Careful monitoring should be used with Super Decalcifier II - Heavy Duty to avoid over decalcification. Most decalcification occurs in approximately 4 - 6 hours or less, depending on the thickness and density of the specimens. Overnight decalcification should be avoided.

Super Decalcifier II - Heavy Duty is not recommended for IHC.

Reducing temperature of the decalcifying solution to approximately 20 degrees centigrade will promote histochemical staining in procedures such as H & E, Masson’s, Van Gieson’s and Azure-Eosin.

Rinse specimens thoroughly in running tap water after decalcification. Do not mix with formalin and avoid contact with metal forceps and metal surfaces. Wear gloves and protective clothing during decalcification procedures. Perform procedures under a fume hood.

Store specimen in 70% ethyl alcohol until ready to process.

Bone Sample Suggested Time
Bone Marrow Biopsies 15 – 30 Minutes
Small Cancellous Bone 2 – 4 Hours
Femur Wedge 3 – 5 Hours
Mature Bone (1 cm) 4 – 6 Hours
Whole Femur or Teeth Overnight

Photos:

Bottlenose Dolphin calf teeth, with Super Decalcifier II - Heavy Duty & stained with Methylene Blue. Courtesy of Rachel Neuenhoff and Christopher D. Marshall, Ph.D., Department of Marine Biology, Texas A&M University, Galveston, TX

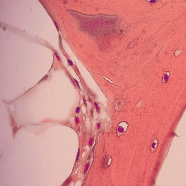
Human Degenerative Joint Disease, decalcified with Super Decalcifier II - Heavy Duty & stained with H & E, 40X

:
Cat.# 容量 定価  
24887-1 1 liter ¥25,600  
24887-120 120 mL ¥9,800
24887-500 500 ml ¥14,800  

他法令: 安衛法
保管温度&取扱: 室温保管、手袋・防護眼鏡を着用



製品のお見積りご依頼時は、「製品コード」と「数量」を必ず明記してください。 海外輸入製品につき、製品コードおよび数量がありませんとお見積りいたしかねます。

 お問い合わせ  |   お見積り




〒113-0021 東京都文京区本駒込1-27-9
TEL 03-3947-7310 FAX 03-3947-7306